신기한 속내과 연합의원
전문클리닉
진료안내
평일
am 09:00 ~ pm 06:30
점심시간
pm 01:00 ~ pm 02:00
토요일
am 09:00 ~ pm 01:00
공휴일
휴진
※ 일요일 휴무
예약 및 문의
053.963.8275
골다공증클리닉
5인의 전문의료진이 최고의 의료서비스를 제공합니다.
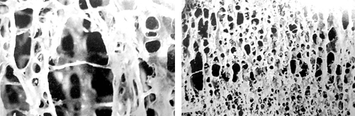
골다공증은 칼슘의 항상성 변화로 유발되는 골 대사 질환입니다.
우리 몸이 식생활을 통한 칼슘의 흡수와 소변을 통한 칼슘의 배출 사이에서 칼슘의 항상성이 깨지게 되면 부족한 칼슘은 뼛속에 저장된 칼슘을 끌어다 쓰게 됩니다. 뼛속의 칼슘이 빠져 나가 골밀도가 낮아지면 뼈 조직이 흡사 바람 든 무처럼 옹골차지 못하고 숭숭 하게 되는 것이 바로 골다공증입니다.


골다공증의 원인
골다공증은 식생활을 통해 환경으로부터 적절한 무기질의 양을 얻지 못하고 신체활동이 제한되거나 운동부족으로 새로운 골을 형성할 정도의 역학적 부하가 충분하지 못할 때 생깁니다.
운동을 통한 기계적인 힘이 새로운 골을 형성할 때 골 형성세포에 영향을 주어서 골밀도 유지와 증진에 효과적이라는 사실이 많은 연구자들에 의해서 밝혀지고 있습니다.
나이가 들면 골 형성 세포의 기능이 감소하기 때문에 누구에게나 서서히 골 손실이 나타납니다.
그러나 남자보다 여자에게 골다공증이 중요한 건강상의 문제를 야기하는 것은 여성이 남성보다 골밀도가 10~25% 낮아서 대퇴골절의 위험이 3배, 척추골절의 위험은 8배나 높기 때문입니다.
골다공증의 진단
골다공증의 검사는 골밀도 측정기로 간편하고 정확한 진단이 가능하게 되었습니다.
골밀도란 뼈의 단단한 정도를 나타내는 것으로 골밀도 수치가 높을수록 뼈가 단단함을 말합니다.
65세 이상의 여성이거나 폐경 외의 하나이상 골다공증성 골절의 위험이 있는 경우, 또는 골절이 있는 모든 여성이라면 반드시 골밀도 측정을 해봐야 합니다.


골다공증의 치료
골다공증은 뼈가 약해진 병이므로 뼈를 튼튼하게 할 수 있는 칼슘을 많이 복용하시는 것이 좋습니다.
칼슘이 많이 들어 있는 음식인 우유, 멸치, 미역 등을 많이 드시고 경우에 따라서는 칼슘약을 드시는 것도 좋습니다.
햇볕을 쬐이거나 산책, 수영 같은 운동이 골다공증에 좋습니다.
골다공증의 치료 약제로는 여성 호르몬(에스트로겐, 프로제스테론), 비타민 D, 칼시토닌, 비스포스포네이트 등이 있습니다.
이중 여성 호르몬 치료는 동맥경화, 심장병 예방 효과와 폐경기 증상들을 치료하는 효과가 있어서 동맥경화나 심장병이 있거나 폐경기 증상이 있는 경우에는 여성 호르몬으로 치료를 받는 것이 좋습니다.
골다공증의 예방
- 1. 균형 잡힌 식사로 충분한 칼슘을 섭취한다.
- 2. 태양광선으로 충분한 비타민 D를 생성시킨다.
- 3. 카페인, 염분, 단백질, 인의 섭취를 제한한다.
- 4. 끼니를 거르지 않는다.
- 5. 에스트로겐을 섭취한다.
- 6. 폐경기 전에 난소 절제술을 한 경우 에스트로겐을 섭취한다.
- 7. 골밀도를 감소시키는 스테로이드성 약물의 사용은 피한다.
- 8. 알코올은 적당한 양만 섭취한다.
- 9. 규칙적으로 운동을 한다.





